Xavfsiz osteogen o‘smalar klinikasi va davolash





So
Muallif:
Solijon Solayev
Hujjat ma'lumotlari
Kategoriya:
Taqdimotlar (slaydlar) Format:
pptx Sahifalar:
15 bet Ko'rilgan:
10 marta Sotilgan:
0 marta Hajmi:
0.97 MB Narxi:
5,000 so'mMahsulot tavsifi:
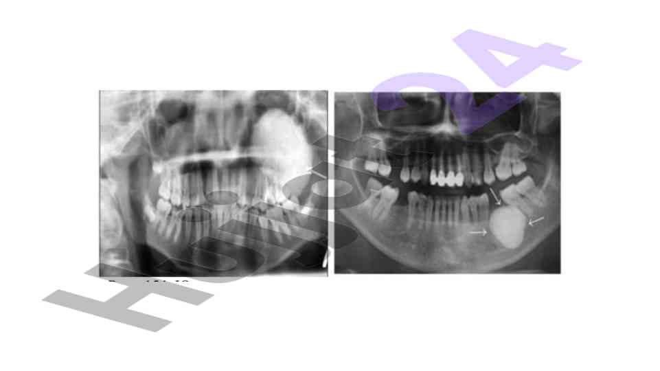
Xavfsiz osteogen o‘smalar, ularning klinikasi, tashxisi va davolash usullari haqida maslahatlar. Osteomalar va ularning turlari detallari bilan.
